
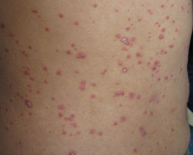
牛皮癣它的易复发性和不容易治好,成为国际上公认的皮肤类疑难杂症。引发此病的原因有很多种,有的是因为过度精神紧张,有的是因为遗传因素,那么,除了这些因素还有哪些因素能诱发牛皮癣出现?下面就来看看西安治疗牛皮癣最好的医院医生做的具体分析。

过敏因素:在生活中很多人都是过敏体质,而过敏是引发牛皮癣的一个重要原因之一,或许在食用什么吃食或是服用什么药物,亦或是接触了什么物品的时候,都可能引发牛皮癣。这就需要患者在复发之后仔细回想近期接触了什么或是服用了什么,努力找出原因,今后尽量避免接触。
感染因素:病毒感染引发的各种炎症是诱发本病的一个重要原因,特别是在感冒后,如患有扁桃体炎、气管炎,需要积极治疗,尽量缩短治疗病程。扁桃体的反复发炎,与牛皮癣发作有密切关系者,患者可考虑扁桃体切除术。
环境因素:很多牛皮癣患者的生活环境可能过于潮湿,这就很容易滋生细菌,引起皮疹,患者如果抓挠之后互利的不周到就会引起牛皮癣的复发,所以,牛皮癣患者一定要居住在清爽通风而且卫生干净的环境中。
精神因素:现在人们生活节奏过快工作压力过大,就会休息不好,精神过度紧张从而引起各种负面情绪,另外在饮食方面,过多的食用辣椒牛羊肉海鲜等食物都有可能会引起牛皮癣的复发。所以患者应该控制好情绪,保持心情平静,保证睡眠的充足。
推荐阅读:人们会受到银屑病的哪些影响
以上是关于还有哪些因素能诱发牛皮癣出现的详细介绍,牛皮癣发病的因素让很多患者也是模棱两可的,不明白自己怎么就患上了此病,而且在进行牛皮癣治疗的时候,患者也要清楚自己是因为什么发病的,这样才能够针对性的治疗,远离发病因素,避免病情发作。
如果您有健康方面的问题想咨询我们的专家,请点击右边"立即咨询"按钮或者拨打咨询热线:400-880-2795;
医院地址:西安市新城区长缨西路408-1号,详细地址请查看来院路线。
西安仁爱银屑病医院集预防、临床、科研一体,作为银屑病研究、治疗对象的专业机构,西安仁爱银屑病医院把时刻为病人着想、关心体贴病人,把解决病人的痛苦看作是医生的责任...[详细]