
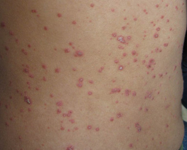
上了年纪的人本来身体就不好,如果遇到慢性病的长期折磨,更是觉得生活痛苦。西安仁爱银屑病医院医生介绍,老年银屑病的频繁这是让不少老年人头疼的事,而银屑病病因却不好找,给老年银屑病患者带来了不小的挑战。那么为什么连老人也会患上银屑病呢?

1、缺乏运动毒素淤塞
老年人由于体能较差,因而运动量难以提升。在这种大背景条件下,老年银屑病的出现似乎是必然的。因为银屑病病因中发挥作用突出的一条就是毒素淤塞,缺乏运动,故而有这类问题的患者一定要小心处理。
2、长期用药皮肤排毒
为什么连老人也会患上银屑病呢?皮肤是身体较大的排毒器官,而不少老年银屑病患者实际上已经用药多年,故体内毒素很多,需要大量排毒。西安仁爱银屑病医院医生介绍,出现银屑病其实也是身体的一种排毒方式,这种银屑病病因的产生与患者缺乏排毒途径有关。
3、少时患病年老发作
还有一种情况非常多见,就是这位老年银屑病患者其实年轻时就有银屑病,只是一直没治好,到老年病情大规模爆发。这样要分析银屑病病因就稍显困难,需要结合患者之前患病的情境具体了解。
推荐阅读:女性银屑病治疗不能轻信广告宣传
以上就是关于“为什么连老人也会患上银屑病呢?”的详细介绍,老年人的身体素质随着年龄的增加也会在逐年的下降,所以免疫力下降也就会导致很多其他的疾病入侵,因此专家建议老年患者多锻炼身体,增强体质,同时注意皮肤的护理。
如果您有健康方面的问题想咨询我们的专家,请点击右边"立即咨询"按钮或者拨打咨询热线:400-880-2795;
医院地址:西安市新城区长缨西路408-1号,详细地址请查看来院路线。
 
      西安仁爱银屑病医院集预防、临床、科研一体,作为银屑病研究、治疗对象的专业机构,西安仁爱银屑病医院把时刻为病人着想、关心体贴病人,把解决病人的痛苦看作是医生的责任...[详细]