
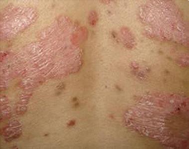
红皮型银屑病的发病在众多的银屑病类型中是一种非常严重的类型的银屑病。这种红皮型银屑病如果不能得到及时有效的控制将会对患者的生命健康产生威胁。那么还指出,导致红皮型银屑病病情加重的主要因素和患者日常的生活有很大的关系。银屑病患者在生活中比较烦恼的事情就是洗澡,那么洗澡时红皮型银屑病患者要注意什么?

不管是红皮型银屑病患者还是其他类型的银屑病患者在洗澡的时候都是需要注意的事项就是银屑病水温的控制,银屑病患者在洗澡的时候水温过高过低都是会对患者的皮肤有很大的伤害的,水温保持在35摄氏度左右,水温过高容易对皮损位置造成烫伤、刺激毛细血管扩张、家居皮肤干燥;水温过低对皮损位置不能较好的起到软化皮屑和促进皮层组合的血液循环,由此可以看出银屑病患者在洗澡的时候水温的重要性。
红皮型银屑病经常洗澡的话对银屑病病情的恢复是有很大的帮助的,得了红皮型银屑病重要的是保持皮肤的清洁,皮肤清洁可以促进银屑病的康复。洗澡虽然对红皮型银屑病患者的病情有帮助,但是红皮型银屑病患者在洗澡的时候有一些事项是需要特别注意的。
首先红皮型银屑病患者在洗澡的时候要注意水温,患者要尽量避免水的给皮肤带来刺激。所以,在洗澡的时候,就要求水温不能过高也不能过低。另外患者洗澡时间不能过长,这样也容易加重皮损症状。
红皮型银屑病患者在洗澡的时候要注意不要挫伤患者的皮损处,另外患者也不要用手去挠皮肤,这样会损伤皮肤的上皮细胞,让细菌很容易侵染到患者的皮肤。在选择沐浴用品的时候患者也要注意,不要使用刺激性的沐浴品,患者可以使用一些温和不刺激的沐浴用品。
以上就是对洗澡时红皮型银屑病患者要注意什么的具体分析,希望对广大患者有所帮助,另外银屑病患者在日常要注意作息,合理的作息可以提高患者的身体免疫力,有利于银屑病病情的康复。银屑病患者在日常生活中对于银屑病的护理是非常重要的,银屑病患者做好护理工作就会对于银屑病的康复起到一个非常有利的作用。
如果您有健康方面的问题想咨询我们的专家,请点击右边"立即咨询"按钮或者拨打咨询热线:400-880-2795;
医院地址:西安市新城区长缨西路408-1号,详细地址请查看来院路线。
西安仁爱银屑病医院集预防、临床、科研一体,作为银屑病研究、治疗对象的专业机构,西安仁爱银屑病医院把时刻为病人着想、关心体贴病人,把解决病人的痛苦看作是医生的责任...[详细]